You are currently on the International (English) version.

Looks like you are in United States.

Switch to local content?

Heidelberg AppWay

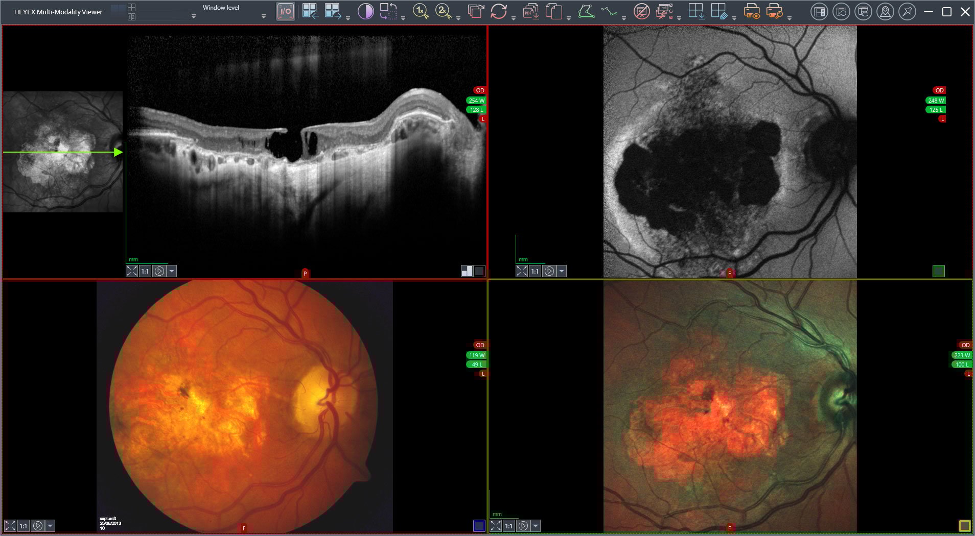
A secure gateway to access clinical and research ophthalmic applications and AI algorithms that offer additional insight into diagnostic images for both Heidelberg Engineering and third-party devices.

Connects HEYEX 2 with clinical and research applications to bring together diagnostic insights from Heidelberg Engineering and third-party providers in one workflow. Enhance precision, simplify processes, and ensure secure, compliant data exchange.

“It allows us to review scans instantly and securely across the clinic. Tools within Heidelberg AppWay give patients a much clearer understanding of their disease and allow us to make earlier, more objective, and therefore more confident, data driven decisions about their care.”

Prof. Paulo-Eduardo StangaFounder and Chief Medical Officer, The Retina Clinic – London Ophthalmic Institute, UK

Choose your app for additional clinical insight

Heidelberg Engineering has partnered with SaaS and AI companies to provide secure access to innovative ophthalmic apps. Get to know the app partners:

Disclaimer: Heidelberg AppWay is included in HEYEX 2 (from V2.6) at no extra cost and can also be purchased as a stand-alone product. Usage fees are paid directly to the third-party app provider. Apps not registered as medical devices in the country of use may only be used for research. Availability and functionality vary by region. Heidelberg Engineering is not responsible for the content, performance, or compliance of third-party apps; app providers are solely responsible for meeting all applicable legal, regulatory, and safety requirements in the markets where they are made available.